Giả nang quanh não thất (Periventricular Pseudocyst – PVPC)

1. Tổng quan

PVPC là cấu trúc dạng nang trống âm, thành mỏng, không có biểu mô lót, nằm sát não thất bên. Thường gặp ở sừng trán não thất hoặc rãnh caudothalamic. Đây là tổn thương có nguồn gốc từ sự thoái triển hoặc vi xuất huyết của vùng germinal matrix trong giai đoạn sinh thần kinh (14–28 tuần).

Thuật ngữ tương đương:
Subependymal pseudocyst, Germinal matrix cyst, Caudothalamic groove cyst, Periventricular pseudocyst.

2. Cơ chế bệnh sinh

Bảng 1: Cơ chế bệnh sinh

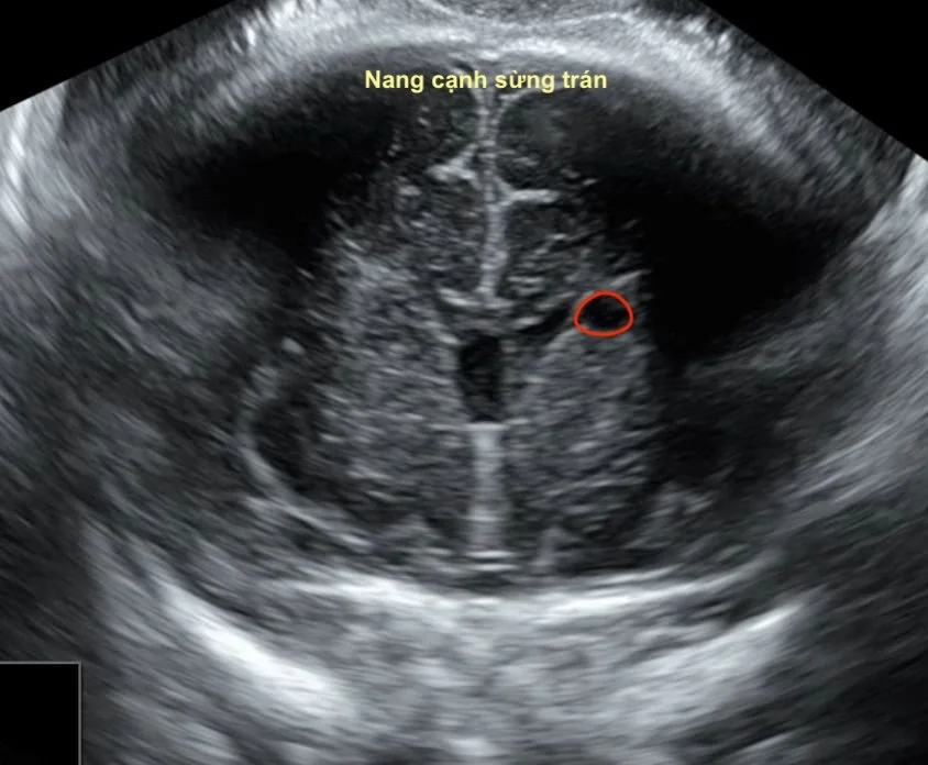
3. Hình ảnh siêu âm và phân loại

Hình ảnh siêu âm điển hình:
- Nang tròn/bầu dục, trống âm hoàn toàn, thành mỏng.
- Không thông với não thất, không gây giãn hoặc lệch đường giữa.
- Doppler: không thấy dòng chảy trong nang.
- Thường thoái triển ở tam cá nguyệt III hoặc sau sinh.

Phân loại theo vị trí:
- FHC (Frontal Horn Cyst): ở sừng trán
- SEPC (Subependymal pseudocyst): dưới ependyma
- Caudothalamic pseudocyst: tại rãnh nhân đuôi - đồi thị

4. Tiên lượng

Bảng 2: Tóm tắt về tiên lượng theo các nghiên cứu

- PVPC đơn độc : tiên lượng rất tốt (84–95% trẻ phát triển bình thường).
- PVPC không đơn độc : tiên lượng phụ thuộc dị tật phối hợp như bất thường cấu trúc, nhiễm trùng, bất thường nhiễm sắc thể hoặc bệnh chuyển hoá.
- PVPC vùng mầm hoặc xuất hiện sớm (<28 tuần) cần theo dõi kỹ hơn.

5. Vai trò của MRI

Bảng 3: Tóm tắt vai trò của MRI

Không cần MRI khi:
- PVPC đơn độc, vị trí điển hình ở sừng trán.
- Không có giãn não thất hay bất thường nhu mô.

Cần MRI khi:
- PVPC kèm giãn não thất, chất trắng bất thường hoặc thể chai/hố sau bất thường.
- Nghi ngờ nhiễm CMV hoặc bất thường nhiễm sắc thể.
- Xuất hiện sớm hoặc không điển hình.

- Có kèm bất thường cấu trúc khác.
Meta-analysis 2023: MRI phát hiện thêm bất thường trong 25.2% ca PVPC, chủ yếu là chất trắng.

6. Kết luận:

Giả nang quanh não thất (PVPC) là tổn thương dạng nang nhỏ, không có biểu mô lót, thường lành tính khi đơn độc.

Tiên lượng: PVPC đơn độc có tiên lượng rất tốt (84–95%).
Nguy cơ xấu: khi có dị tật não, NST, nhiễm CMV hoặc rối loạn chuyển hoá.
MRI: nên chỉ định chọn lọc khi siêu âm nghi ngờ tổn thương phối hợp hoặc vị trí không điển hình; MRI giúp phát hiện thêm ~25% bất thường, chủ yếu chất trắng.

7. Tài liệu tham khảo

1. Malinger G, Lev D, Ben Sira L, Kidron D, Tamarkin M, Lerman-Sagie T. Congenital periventricular pseudocysts: prenatal sonographic appearance and clinical implications. Ultrasound Obstet Gynecol. 2002 Nov;20(5):447-51. doi: 10.1046/j.1469-0705.2002.00840.x. PMID: 12423480.
2. Chen Li et al. Chinese Journal of Perinatal Medicine. 2019.
3. Levy M, Lev D, Leibovitz Z, Kashanian A, Gindes L, Tamarkin M, Shalev J, Sira LB, Mizrachi Y, Borovich A, Birnbaum R, Lerman-Sagie T, Malinger G, Haratz KK. Periventricular pseudocysts of noninfectious origin: Prenatal associated findings and prognostic factors. Prenat Diagn. 2020 Jul;40(8):931-941. doi: 10.1002/pd.5704. Epub 2020 May 6. PMID: 32277778.
4. Sun C, Zhang X, Chen X, Wei X, Chen Y, Yang A, Zhu J, Wang G. Evaluation of MRI Features and Neurodevelopmental Outcomes for Prenatally Diagnosed Periventricular Pseudocysts. Front Pediatr. 2021 Oct 22;9:681999. doi: 10.3389/fped.2021.681999. PMID: 34746043; PMCID: PMC8569444.
5. Pengam A, Delorme B, Boussion F, Van Bogaert P, Bouet PE, Loisel D. The correlation between prenatal ultrasound and MRI in isolated periventricular pseudocysts: Analysis of 10 years' experience at the University Hospital of Angers. Arch Pediatr. 2023 Oct;30(7):493-500. doi: 10.1016/j.arcped.2023.06.010. Epub 2023 Sep 12. PMID: 37704521.
6. Pugash, D., Mayer, C. and Lehman, A. (2014), OC15.04: Periventricular pseudocysts and the germinal matrix: appearances, associations and neurodevelopmental outcome. Ultrasound Obstet Gynecol, 44: 36-36. https://doi.org/10.1002/uog.13559
7. Qiu L, Chen N, Luo H. Fetal periventricular pseudocysts: is MRI evaluation needed? What is the long-term neurodevelopmental outcome? Systematic review and meta-analysis. Arch Gynecol Obstet. 2023 Jun;307(6):1697-1711. doi: 10.1007/s00404-022-06624-y. Epub 2022 Jun 8. PMID: 35674830.

Previous
Previous

Tật đầu nhỏ (Microcephaly)

Next
Next

Tật nửa đốt sống - Hemivertebrea